stepenin.ru VK ID
Полугодовик к ЕГЭ-2026. Короткие видео с теорией и опытами. Вебы с разбором заданий.
Биология. База заданий
Строение клетки
94 вопрос  · ID 100506
Тест из урока «Вебинар и домашка»

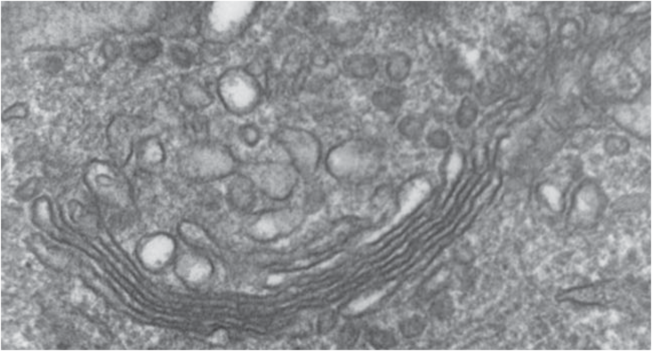
Как называется органелла клетки, изображённая на микрофотографии, сделанной с помощью электронного микроскопа? Какие мембранные структуры её образуют? Какие функции она выполняет?

Войти с VK ID
63% учеников отвечают на вопрос правильно
1 2 3 4 5 6 7 8 9 10 11 12 13 14 15 16 17 18 19 20 21 22 23 24 25 26 27 28 29 30 31 32 33 34 35 36 37 38 39 40 41 42 43 44 45 46 47 48 49 50 51 52 53 54 55 56 57 58 59 60 61 62 63 64 65 66 67 68 69 70 71 72 73 74 75 76 77 78 79 80 81 82 83 84 85 86 87 88 89 90 91 92 93 94 95 96 97 98 99 100 101 102 103 104 105 106 107
Химия: 10 класс Биология ЕГЭ Химия: 10 класс Биология ЕГЭ Химия: 10 класс ЕГЭ биология